vevo3100

Vevo 3100 LazerX

Ultrasound


The Visual Sonics Vevo 3100 system is an in vivo high resolution ultrasound imaging system, specially designed for in-vivo small animal (rodent) imaging. The system allows anatomical, morphological and functional 2D/3D imaging, with resolutions as low as 30 µm. It is equipped with an isoflurane anesthesia and monitoring system enabling respiratory and cardiac gating, a variety of transducers designated for anatomical, vascular and cardiac rodent imaging, an adjustable rail system and a physiology plate for easy animal positioning and handling.
In our Institute, we have two available tranducers :
  • • The MX550D (25-55 MHz), with axial resolution of 40 µm.
  • • The MX250 (15-30 MHz), with axial resolution of 75 µm.


B-Mode / M-Mode

B-Mode is a two-dimensional ultrasound image display composed of bright dots representing the ultrasound echoes. The brightness of each dot is determined by the amplitude of the returned echo signal. This allows for visualization and quantification of anatomical structures, as well as for the visualization of diagnostic and therapeutic procedures for small animal studies.

Heart - B Mode
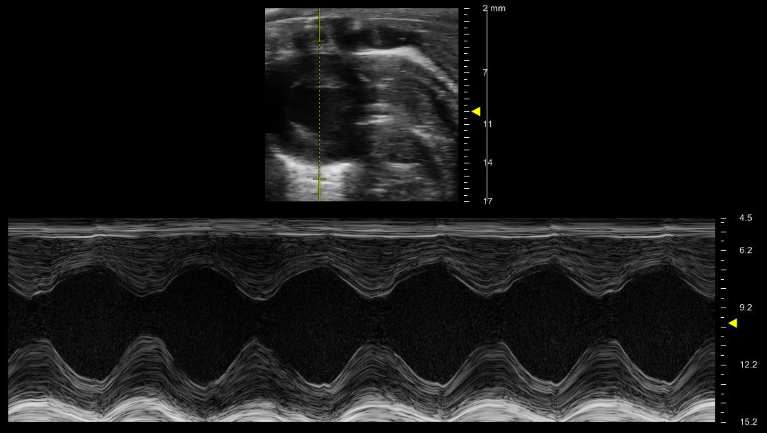
Heart - M Mode
M-mode examines a line of Motion over time. Using M-mode in echocardiography displays the movement of the myocardium allowing for accurate and real-time measurements of wall thickness, internal diameter, and heart rate. It is from these parameters that many systolic parameters are derived (i.e. fractional shortening, ejection fraction, chamber volumes, etc.).

PW Doppler / Color Mode


Measuring the velocity of blood flow is crucial to understanding disease states. Pulsed wave (PW) Doppler uses the Doppler principle that moving objects change the characteristic of sound waves. By sending short and quick pulses of sound, it becomes possible to accurately measure the velocity of blood in a precise location and in real time.
Using Color Doppler Mode, flow velocities within vessels are color-coded. The intensity of the color is a function of velocity. Flow towards and away from the transducer is indicated either as red or blue, respectively.
PW Doppler
Color Doppler - Aortic arc
Color Doppler - Renal vein/artery

3D Reconstitution


With the 3D Mode you will see the entire shape of your target anatomy on a micrometer scale. 3D Mode allows for measurements of area, height, length and volume of the target anatomy.
Aortic arc
Combining 3D Mode with Color Doppler, Power Doppler, Non-Linear Contrast Mode or Photoacoustics sub-modes makes it possible to extract even more parameters such as depth, volume and percent vascularity, all at a micrometer scale.
Mouse brain
Embryo blood supply
Embryo
Tumor blood supply

Photoacoustic


Photoacoustic imaging allows the delivery of light energy that is absorbed by tissues causing a thermoelastic expansion. This expansion then generates ultrasound waves that are detected by the transducer and produce images of optical absorption contrast within tissues. Image in vivo tissue down to 2 cm in depth in real time and with a resolution down to 45 μm.
The Photoacoustic imaging is Non-invasive, allows to get deep, optical signals visible with high resolution and in real-time. It also allows Real-time assessment of functional data such as oxygen saturation, contrast agent distribution, pharmacokinetics and more.
Oxygen Saturation in the Mouse Placenta and Fetus
Mouse hindlimb post reperfusion
Ischemia/hypoxia stroke model